Before & After Smile Gallery
-
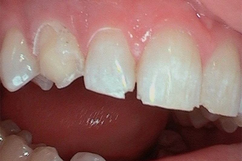
Before
After
Upper Anterior Cosmetic Crowns
Read About This RestorationCrowns & Fillings
-
Before
After
Lower Cosmetic Crowns
-
Before
After
Cosmetic Fillings (upper right)
-
Before
After
Lower Left Implants
Read About This RestorationImplant Bridge Lower Right 27-29 | Single Implants Lower Left 21 & 22
-
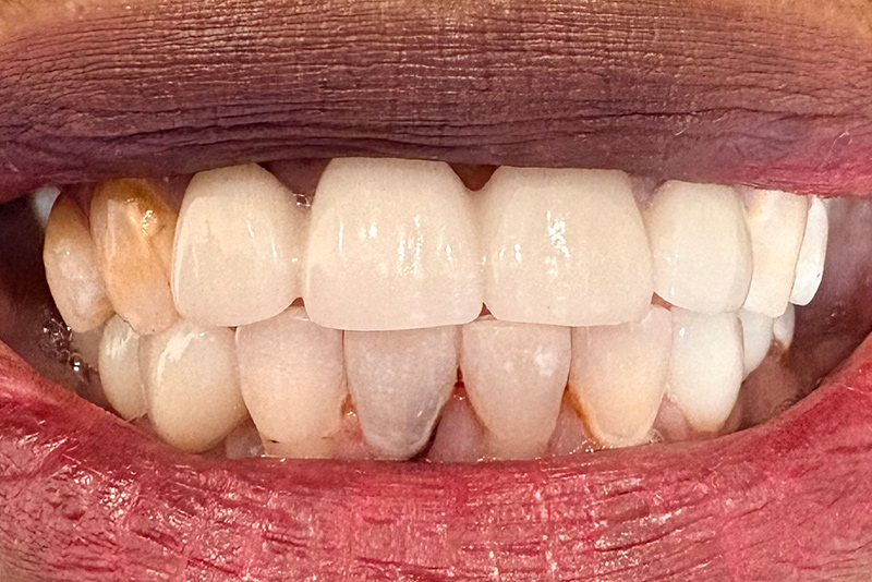
Before
After
Invisalign
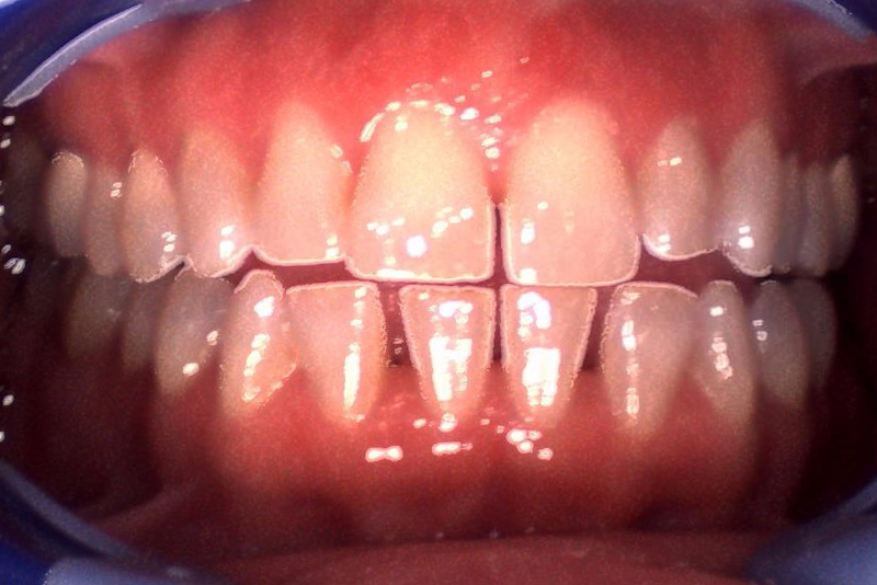
-
Before
After
Teeth Cleaning
-
Before
After
Dental Implant
-
Before
After
Lower Right Implants
